Staying current with advances in dentistry is essential—for you and for the patients who trust you with their care. Our monthly live webinar series is designed specifically for dentists beginning their Implant journey or wanting to stay current on the latest information. Each session combines focused didactic education with real-world treatment planning, including the opportunity to submit your own cases which may be chosen for a live review by industry leaders. Learn how experienced clinicians think, plan, and approach complex implant decisions to improve outcomes in your private practice. Annual subscribers gain on-demand access to all live webinar series recordings and can earn CE credits on their own schedule, from anywhere. A la carte live attendance is also available. Join a learning experience built to elevate your confidence, competence, and clinical results.

Choose Your Preferred Webinar Subscription Plan Today and Unlock Exclusive Learning Opportunities

Browse Our Live Webinar Series Library

Discover expertly curated dental webinars designed to enhance your clinical skills, stay updated with industry trends, and earn CE credits, all from the comfort of your home or clinic.

Mar 10
Exosomes, PRF and the Future of Regenerative Medicine/Dentistry

Exosomes, tiny vesicles secreted by most cells, are gaining significant attention for their diagnostic and therapeutic potential. They are commonly derived from sources like dental pulp and periodontal ligament cells and have shown great promise in...

Lecturer: Dr. Richard Miron
Join this live webinar and earn 2 CE credits
Tue, Mar 10 • 07:00 PM EST • 2 Hours
Apr 14
Prevention and Management of Dental Implant Complications – Latest Updates Part I

Success rates with Implant dentistry have been increasing with improving techniques.  More and more Implants are being placed with the advent of local courses and mini residencies, etc. As with any procedure, along with the...

Lecturer: Dr. Bart W. Silverman
Join this live webinar and earn 2 CE credits
Tue, Apr 14 • 07:00 PM EST • 2 Hours
May 12
Prevention and Management of Dental Implant Complications – Latest Updates Part II

Success rates with Implant dentistry have been increasing with improving techniques.  More and more Implants are being placed with the advent of local courses and mini residencies, etc. As with any procedure, along with the increase in numbers, comes...

Lecturer: Dr. Bart W. Silverman
Join this live webinar and earn 2 CE credits
Tue, May 12 • 07:00 PM EST • 2 Hours
Jun 09
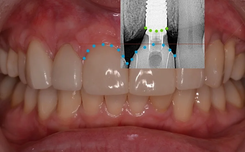
Implants in the Aesthetic Zone

With advances in implantology and our understanding of biology, biomechanics and restorative solutions, expectations from out patients and ourselves are at the highest they have ever been. This lecture will discuss implant placement, hard and soft tissue requirements,...

Lecturer: Dr. Adam Foleck
Join this live webinar and earn 2 CE credits
Tue, Jun 09 • 07:00 PM EST • 2 Hours
Jul 14
DIGITAL DENTISTRY : THE REAL DEAL

Over the past 5 years digital technologies have advanced our clinical treatments and patient experience.  The digital connection in a private practice setting and the connection of laboratories and implant therapies is growing every year.  Understanding the “REAL” connection...

Lecturer: Dr. Dean Vafiadis
Join this live webinar and earn 2 CE credits
Tue, Jul 14 • 07:00 PM EST • 2 Hours
Aug 11
Maximizing Implant Overdentures for the Implantologist

Discover how implant overdenture therapy with Locators can elevate your implant practice. This focused webinar and case review session will demonstrate how overdentures serve as an ideal starting point for clinicians new to implant dentistry while also providing experienced practitioners...

Lecturer: Dr. Michael Scherer
Join this live webinar and earn 2 CE credits
Tue, Aug 11 • 07:00 PM EST • 2 Hours
Sep 08
Dr. Robert Stanley’s Five Thread Guideline: The Science of Predicting Primary Stability

Primary stability remains the single most important predictor of implant success — yet for decades, clinicians have had no reliable way to forecast it before surgery. Most treatment plans still rely on bone density estimates, insertion torque, or tactile feedback...

Lecturer: Dr. Robert Stanley
Join this live webinar and earn 2 CE credits
Tue, Sep 08 • 07:00 PM EST • 2 Hours
Oct 13
The Growing Prevalence of Peri-implantitis: Diagnosis and Management of the Disease

Dental implants are highly predictable when treatment protocols are followed. Peri-implantitis is a disease that threatens implant survival long-term. For clinicians, there is no clear consensus on how to prevent and treat this fast-growing problem. This presentation will provide an...

Lecturer: Dr. Suheil Boutros
Join this live webinar and earn 2 CE credits
Tue, Oct 13 • 07:00 PM EST • 2 Hours
Nov 10
Immediate Dentures. The Complete Process – The Basis for any Full Arch Restoration

An Immediate Denture is the first prosthesis made for a patient with total extraction and rehabilitation of a dental arch, whether the final prosthesis is any Removable or Fixed Restoration.A properly planned and executed Immediate Denture, not only...

Lecturer: Dr Ali Mostafavi
Join this live webinar and earn 2 CE credits
Tue, Nov 10 • 07:00 PM EST • 2 Hours
Jan 12
Keeping Implants Simple with Fully Guided Surgery

Keeping Implants Simple with Fully Guided Surgery is a practical, case-driven webinar designed to demystify guided implant workflows and show how digital planning can actually simplify everyday implant dentistry. In the first hour, we’ll walk through the fundamentals...

Lecturer: Steven Vorholt D.D.S
Join this live webinar and earn 2 CE credits
Tue, Jan 12 • 07:00 PM EST • 2 Hours
Feb 09
We Don’t Sell Dentistry—We Guide Decisions: Full Arch Case Acceptance for Edentulous Patients

This session introduces a team-driven approach to implant case acceptance for fully edentulous patients using the Vavi Global Method™, powered by the GUIDE™ framework. Using the GUIDE™ framework (Gather, Uncover, Introduce, Diffuse, Execute), participants will learn how to structure conversations...

Lecturer: Vavi Bohbot
Join this live webinar and earn 2 CE credits
Tue, Feb 09 • 07:00 PM EST • 2 Hours

Live Webinar Series does not include On-demand Virtual Dental Mastery CE courses